
Teeth Whitening in Burlington, CT


Experience a Whiter, Brighter Smile with Professional Teeth Whitening
At Lifetime Family Dentistry we offer teeth whitening in Burlington, CT, as the most effective way to achieve your brightest, whitest smile. Our professional KöR teeth whitening eliminates stubborn stains and discoloration, customized to fit both your desired results and budget.
Experience dramatic results that can last for years with either our powerful in-office chairside whitening treatment or our custom-fitted take-home whitening trays.

Whitens the Toughest Stains
Our professional teeth whitening treatments effectively tackle even the most stubborn teeth discoloration from coffee, tea, wine, tobacco, and aging. Using advanced whitening technology and professional-grade agents, we can brighten your beautiful smile by several shades, reaching stains that over-the-counter products simply can’t touch. Whether caused by lifestyle habits or natural aging, our customized whitening solutions provide remarkable results that will restore your confident smile.
KöR Teeth Whitening Offers Many Benefits
At Lifetime Family Dentistry, our dentist in Burlington is proud to offer KöR teeth whitening as a part of our cosmetic dentistry services, a revolutionary system that delivers exceptional results.
KöR whitening treatments are designed for minimal tooth sensitivity, creating a comfortable experience for our patients.
With decades of research and millions of satisfied patients worldwide, KöR has proven to be both safe and effective for long-lasting results.
Unlike other whitening systems, KöR can effectively brighten even the most challenging tetracycline-stained teeth, delivering remarkable results.
Our KöR whitening system is suitable for patients aged 14 to 90, making it a versatile solution for almost any healthy smile.
Custom-fitted KöR trays are worn while you sleep, making the whitening process effortless and convenient for your lifestyle.
Our Teeth Whitening Process
Here’s a comprehensive breakdown of our teeth whitening process at Lifetime Family Dentistry.
1
During your initial consultation, our cosmetic dentist will examine your teeth and gums to ensure you’re an ideal candidate for whitening treatment. We’ll discuss your dream smile goals, evaluate any existing dental work, and address any concerns about sensitivity or past whitening experiences.
2
The whitening procedure begins with professional cleaning to remove surface stains and debris. For in-office treatments, we carefully apply protective barriers to your gums before administering the professional-grade whitening gel. If you choose our take-home option, we’ll take precise impressions for your custom-fitted trays.
3
Most patients achieve their desired results within 1-2 weeks of consistent use with take-home trays, while our in-office treatment delivers dramatic results in just one 60-90 minute session. You can expect your teeth to brighten by several shades, with results lasting 1-2 years, depending on your habits.
4
To maintain your bright smile, we recommend periodic touch-up treatments, typically every few months. Daily brushing and flossing, along with regular dental cleanings, will help extend your results. We’ll provide specific dental care instructions and tips for minimizing new stains from coffee, wine, and other common staining agents.
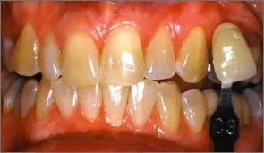
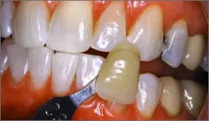
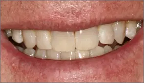
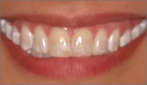
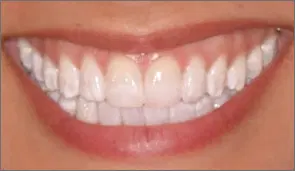
Actual KöR Whitening Patients

Before

After

Before

After

Before

After
Transform Your Smile with Professional Results
At Lifetime Family Dentistry, we understand how a brilliant, radiant smile can transform your confidence and leave a lasting impression. Our advanced teeth whitening in Burlington, CT, combine cutting-edge technology with personalized care to help you achieve the dazzling results you desire.
Whether you’re preparing for a special occasion or simply want to refresh your smile and improve your oral health, our experienced team offers both in-office and take-home whitening solutions tailored to your unique needs. Contact us today!

