
Embracing Modern Dentistry: Advanced Technology at Lifetime Family Dental



Innovation in Action:
Transforming Your Dental Experience with Cutting-Edge Technology
At Lifetime Family Dentistry, we blend compassionate care with cutting-edge technology to redefine your dental experience. Our practice is equipped with the latest advancements in dental technology for the most precise diagnostics, effective treatments, and improved patient comfort. Here’s a closer look at the sophisticated tools and techniques that make our services standout.

Dental Microscopes
Enhanced Patient Understanding
From the very beginning, Dr. Bielawski’s practice has focused on three key philosophies: prevention, early diagnosis, and minimally invasive intervention whenever possible. To achieve her goals, she has always relied upon the best technology available, whether delivering all-porcelain restorations to patients, using a laser in diagnosing tooth decay early, or removing soft tissue lesions. But she says the most important tool in her technological arsenal, by far, is the dental operating microscope. Less than 1% of all dentists are currently utilizing surgical microscopes in their offices.
“I consider it to be the most valuable piece of technology. This equipment has truly transformed the way I practice dentistry in ways I never imagined. The microscope gives me increased precision and a higher level of confidence.
- A tiny spot of decay is caught early before it becomes a full-fledged cavity.
- All decay is removed during treatment.
- I am able to see a tiny crevice before it becomes a full crack.
- Microscopic precision means beautiful cosmetic results.
All of these enable me to provide a much higher standard of care. When I use a laser, the microscope is very helpful in better observing laser-tissue interactions. Most importantly, however, the microscope enables me to better diagnose problems early, while they are small, and effectively communicate these problems to patients. Small problems are often much easier, far less invasive to treat, and less costly to the patient then their larger counterparts.”

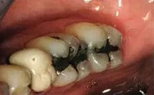
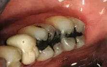
Dr. Bielawski has far greater magnification than dentists who only use dental loupes (magnification glasses) or who don’t use any magnification at all. These loupes provide limited levels of magnification compared to microscope-enhanced dentistry, which uses a surgical microscope similar to those used by medical specialists or surgeons. This significantly enhanced magnification level translates into higher quality care for our patients. We can see teeth and gums at different levels of magnification from 2 to 18 times normal size by just turning the knob. Without the microscope, it’s easy to miss small problems. These can then turn into far bigger problems that require extensive, costly treatment. Small problems are often much easier to address, require less invasive care, and are far less costly to the patient. More healthy tooth structure can be preserved, and tooth strength is significantly increased. Even better? Patients benefit from less postoperative discomfort, faster healing, and better results.

2x magnification

3.5x magnification

8x magnification

12x magnification

Digital X-rays:
Precision with Reduced Radiation
At Lifetime Family Dentistry, we use state-of-the-art digital X-ray technology that reduces radiation exposure by up to 90% compared to traditional methods. Our high-resolution images provide critical insights into the earliest signs of dental issues, allowing for prompt and effective treatment. With immediate image processing, appointments are quicker and more informative, as we share and explain your dental health status directly with you. This technology ensures that we can plan your treatment with precision, making your dental care more effective and less invasive.
Intra Oral Scanner for Superior Dental Care
We utilize state-of-the-art intraoral scanners to enhance your dental care experience. These advanced devices capture detailed, 3D images of your teeth and gums without the need for messy impressions. The precision of our intraoral scanners allows us to detect potential issues with greater accuracy and plan treatments with confidence. This technology not only streamlines your visit but also ensures that your dental care is more comfortable and efficient. Our skilled team leverages these cutting-edge scanners to provide you with personalized, high-quality care, making your experience with us smooth and stress-free.

Intraoral Cameras:
Enhanced Patient Understanding
Experience a closer view of your dental health with our intraoral cameras. These powerful devices offer real-time, high-definition images of your mouth, making it easier for you to see and understand conditions like early-stage cavities or gum disease. This tool is vital for patient education, enhancing your engagement and understanding of your treatment options. It empowers you to make informed decisions about your dental care, enhancing transparency between you and our team.


Laser Dentistry
A Gentler Approach to Dental Care
Our FDA-approved laser technology delivers outstanding outcomes, a faster recovery period, and a minimally invasive approach, reducing the need for traditional incisions or scalpel use. The laser also excels in crown lengthening, allowing for effortless repair of teeth broken below the gum line. For teeth that seem shorter due to wear, we skillfully reshape the gum line to enhance your smile and provide a noticeable ‘smile lift.’
The laser proves exceptionally beneficial in treating inflamed gums, meticulously cleaning and reshaping sore or ulcerated tissue, and offering immediate relief from discomfort around crowns, cold sores, and canker sores.

The Isolite™ Dental Isolation System
This multi-function unit’s most important feature is suction that removes droplets and aerosols from the air during treatment. Additionally, its flexible mouthpiece provides an increased level of dental isolation and includes a light for improved illumination of the inside of your mouth. For comfort, there is a built-in bite block to assist you in keeping your mouth open. Isolite was designed to make your treatment quicker and easier, not only eliminating multiple hand instruments previously used by dentists and dental assistants but also shortening your time in the chair and in our office.
Relieving Teeth Grinding, Headaches, and Migraines
Bruxism (teeth grinding and clenching) is a problem that puts unnecessary wear and strain on your teeth and jaw joints. This usually occurs when you are stressed or while asleep. With a custom-made nightguard that we can provide, you can maintain more of your natural teeth structure and relieve other symptoms that may occur. For best results in lessening the distress to your teeth, fillings, and jaw joints, nightly use of this oral appliance is recommended.
We also offer the FDA-approved NTI™ oral appliance that can prevent most migraine and tension headaches. This is an effective approach without the use of any drugs and works by relaxing muscles around the head to provide relief from tension, pain, and strain. Statistics have shown that the majority of patients had 77% fewer headaches. NTI is an inexpensive appliance that really works to bring relief without the use of medication. We can add to the quality of your life with this easy-to-use new treatment.


Advanced Technology For the Cleanest Teeth
We use a ultrasonic cavitron to aid in removing deposits of plaque and calculus (tartar) from your teeth, especially under the gumline and even in deep pockets, in the case of gum disease treatments. This hand tool uses high-frequency vibrations to enable us to remove deposits on your teeth faster than with regular scaling instruments. Your teeth have never felt so clean!
Diagnodent: Cutting-Edge Cavity Detection
At Lifetime Family Dentistry, we use Diagnodent, a cutting-edge laser device, for early and precise cavity detection. This non-invasive tool allows us to find hidden decay that traditional methods might miss, ensuring your dental health is protected. With Diagnodent, we can treat cavities early, preserving more of your natural tooth structure. This advanced technology makes your visit quick, painless, and effective. Our experienced team uses this advanced tool to deliver accurate diagnoses and effective treatments, ensuring that you receive the highest level of dental care.


Air Abrasion: Gentle and Precise Cavity Treatment Air Abrasion
At Lifetime Family Dentistry, we offer air abrasion, a gentle and precise method for removing tooth decay without the need for traditional drilling. This minimally invasive technique uses a stream of fine particles to painlessly remove decay while preserving more of your healthy tooth structure. Air abrasion is quiet, comfortable, and often eliminates the need for anesthesia, making it an ideal option for patients of all ages. Our commitment to using advanced technology like air abrasion ensures that your dental treatments are as effective and stress-free as possible.
Experience Dental Excellence With Advanced Technology
Discover the difference advanced technology and expert care make. Visit Lifetime Family Dentistry for a comprehensive range of dental services that cater to you and your family’s needs.
Schedule your appointment with us and experience top-tier dental care.

